L’usure dentaire correspond à la perte progressive de la substance dentaire, souvent causée par des facteurs tels que le grincement des dents, une alimentation acide, le vieillissement ou certaines habitudes nuisibles.
Avec le temps, les dents deviennent plus courtes et plus fines, ce qui peut altérer l’apparence de votre sourire, provoquer des sensibilités dentaires et réduire votre capacité de mastication.
L’érosion correspond à une usure acide des dents, due à des sources externes ou internes :
Une bouche sèche ou une diminution du flux salivaire, souvent liée à une activité physique intense ou à la déshydratation, peut aggraver ce type d’usure.
L’attrition est une usure liée au contact direct entre les dents. Ce phénomène devient pathologique en présence de :
L’abrasion résulte d’un contact avec des objets extérieurs, par exemple :
Pour prévenir l’usure dentaire, il est crucial d’identifier ses causes spécifiques et les facteurs de risques individuels associés. Un plan de prévention peut inclure :
L’émail dentaire ne peut pas se régénérer une fois usé. Si l’usure dentaire n’est pas prise en charge, elle peut entraîner :
L’objectif du traitement est de réhabiliter la fonction masticatoire de votre bouche de la façon la plus conservatrice possible tout en ralentissant le processus d’usure. L’esthétique du sourire, si elle est affectée, peut également être prise en compte et intégrée dans le traitement.
Lors de la première consultation, le praticien prend le temps d’échanger avec vous pour bien comprendre vos attentes et vos objectifs esthétiques.
Un bilan clinique complet est ensuite réalisé, incluant des prises de photos, des radiographies en 2D et 3D, et une empreinte optique afin de réaliser un diagnostic approfondi.
A la suite de cet examen, nous pourrons vous indiquer si vos dents s’usent et si elles nécessitent une prise en charge. Si c’est le cas, nous vous remettons un devis et une solution adaptée à votre situation : un traitement préventif, un traitement interceptif ou un traitement restaurateur.
Lorsque l’usure est débutante ou minime, l’approche se concentre sur une prévention proactive visant à préserver l’intégrité de vos dents. Cela passe par des gestes simples mais essentiels:
Nous vous conseillons de consulter votre dentiste régulièrement afin de détecter les signes précoces d’usure et de corriger vos habitudes si nécessaire.
Le traitement interceptif est une technique moderne et conservatrice utilisée pour traiter l’usure légère et modérée.
Elle repose sur l’utilisation de composites, un matériau dentaire qui imite l’aspect naturel des dents. Les composites sont appliqués directement sur les dents, sans avoir besoin de tailler ou de retirer des tissus dentaires sains. Cela permet de préserver la structure naturelle de vos dents tout en restaurant leur forme, leur fonction et leur esthétique. Cette approche est idéale pour protéger vos dents de manière peu invasive et empêcher la progression de l’usure.
Une réhabilitation d’une, voire des deux, arcades dentaires est souvent nécessaire pour préserver la fonction, et prévenir les dommages supplémentaires.
Avant/après d’un traitement interceptif de l’usure de la machoire du bas d’un de nos patients
Si votre usure implique votre sourire, nous réalisons au cabinet une simulation virtuelle de votre sourire, appelée aussi “Digital Smile Design”. Il s’agit d’un photomontage en 2D permettant de visualiser différentes formes, longueurs et couleurs de dents donnant un premier aperçu du rendu de votre futur sourire.
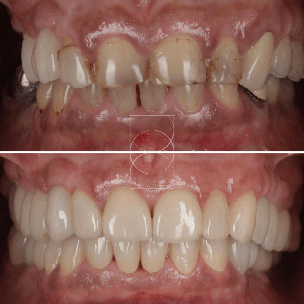
Le traitement de l’usure dentaire à l’aide de céramiques collées est une solution durable et esthétique, particulièrement privilégiée pour les dents usées. Les céramiques sont des matériaux extrêmement résistants et biocompatibles, conçus pour imiter parfaitement l’aspect et la fonction des dents naturelles.
Ce traitement consiste à coller des facettes, des onlays ou des couronnes en céramique sur les dents usées, après une préparation minimale pour préserver un maximum de tissu dentaire sain. Grâce à leur solidité et leur stabilité, ces restaurations sont idéales pour redonner un sourire fonctionnel et harmonieux tout en protégeant les dents contre de futures dégradations.
Une réhabilitation d’une, voire des deux, arcades dentaires est souvent nécessaire pour préserver la fonction, prévenir les dommages supplémentaires et restaurer un sourire harmonieux.
Avant/après d’un traitement restaurateur de l’usure d’un de nos patients
Les traitements interceptif et restaurateurs de l’usure sont toujours accompagnés d’un examen 4D Modjaw®.
Cette technologie est un dispositif avancé qui capture les mouvements mandibulaires en temps réel grâce à une caméra haute fréquence. Elle permet de visualiser en 4D les déplacements de la mâchoire, offrant une analyse détaillée de la cinématique mandibulaire.
Il est alors possible de concevoir des prothèses ou des composites dentaires parfaitement ajustées a votre dynamique masticatoire , améliorant ainsi le confort et la fonctionnalité des restaurations prothétiques.
Comparaison de la mastication initiale (à gauche) et après le traitement (a droite) d’un de nos patient à l’aide du Modjaw®
Les symptômes varient en fonction du degré d’avancement de l’usure .Dans la plupart des situations, on retrouve :