Cabinet Dentaire Aesthetic

Facettes Villeurbanne

Facettes dentaires à Villeurbanne

Vous habitez Villeurbanne et recherchez une solution esthétique pour retrouver un sourire éclatant ? 

Les facettes dentaires sont une excellente option pour corriger les imperfections visibles des dents : teinte, forme, usure ou alignement léger.

Notre cabinet dentaire, situé à quelques minutes de Villeurbanne, vous propose une approche personnalisée et conservatrice, pour sublimer votre sourire sans altérer la santé de vos dents.

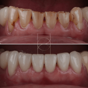
"Correction des imperfections dentaires avec facettes à Lyon – photo avant/après"

Pourquoi envisager des facettes dentaires ?

Les facettes permettent de :

  • Blanchir des dents tachées ou décolorées
  • Corriger des dents légèrement usées, cassées ou espacées
  • Obtenir un alignement esthétique sans orthodontie

Pourquoi venir depuis Villeurbanne jusqu'à notre cabinet ?

  • Accès rapide depuis Villeurbanne en transports ou en voiture
  • Expertise en dentisterie esthétique
  • Traitements sur mesure avec des facettes haut de gamme

📍 Notre cabinet est facilement accessible depuis le centre de Villeurbanne, avec stationnement à proximité.

Prenez rendez-vous pour une consultation personnalisée. Votre sourire mérite toute notre attention !

Autres Publications